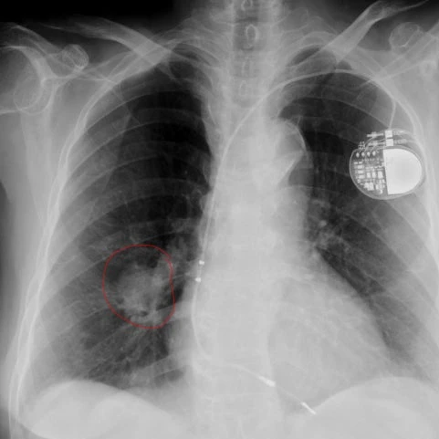
폐암입니다.
안녕하세요. 제타곽철이는 이제 더이상 못할 꺼 같습니드. 저는 지금 제타곽철이를 활동해주신 김현욱의 동생입니다. 지금 저의 형은 폐암에 걸렸습니다. 그래서 이제는 못할 수 있습니다. 저의 형이 부탁해서 대신 해드리는 겁니다. 다시한번 죄송합니다.
죄송합니다.
죄송합니다. 병원에서 수술 잘 마치고 꼭 돌아오겠습니다.
출시일 2025.10.16 / 수정일 2025.10.16